
Číslo 5 / 2022
Moderní zubní lékařství
Souhrn: Současné zubní lékařství se ubírá především ve směru prevence, estetiky a biokompatibilních materiálů. Pro kvalitní výsledek v ošetření chrupu je důležitá spolupráce čtyř lidí. Ti si navzájem musí důvěřovat, spolupracovat, vzájemně si naslouchat a respektovat se. Jsou to – pacient, zubní lékař, dentální hygienistka a zubní technik.
Klíčová slova: dentální hygiena, prevence, estetika, biokompatibilita
Modern dentistry
Summary: Contemporary dentistry is focused on the direction of prevention, aesthetics and biocompatible materials. The cooperation of four people is important for a quality result in dental treatment. They must trust each other, cooperate, listen to each other and respect each other. The four are a patient, a dentist, a dental hygienist and a dental technician.
Keywords: dental hygiene, prevention, aesthetics, biocompatibility
Dentální hygiena
Dentální hygiena hraje roli především při prevenci kazů a chorob parodontu (obecné označení pro dáseň, zubní cement, kostní lůžko zubu a závěsná vlákna, která spojují zub s kostí). Rozvoj dentální hygieny znamenal obrovský krok ke zdravému chrupu v naší populaci. Nejlépe je to vidět v praxi na velkých klinikách. Kliniky postupně mění složení v ordinacích, kdy na počátku naberou nové pacienty a potřebují mnoho lékařů na jejich ošetření. Po pár letech je potřeba více dentálních hygienistů, aby nadále motivovali pacienty, upravili čištění a dočistili spolu problematická místa. Chrup s kvalitní prevencí nemá již tolik problémů s kazy. Ty pak vznikají spíše na základě chyb ve stravovacích návycích. Zubní lékař potom řeší spíše úrazy, estetické korekce, okousání chrupu a koordinuje zbylé tři členy týmu.
Přichází-li k nám nový pacient, provedeme důkladné vyšetření, vysvětlíme mu na fotografiích a rentgenech, co má v ústech za problémy, a pokud pacient souhlasí s léčebným plánem, následuje dentální hygiena, kdy se odstraní nánosy zubního kamene a pigmentů. Vyleští se zuby, aby se i pacientovi snáz udržovaly čisté. Velmi často má pacient zánět dásně, kdy je dáseň náchylná ke krvácení, což představuje největší problém pro následné ošetřování chrupu. Při dnešních cenách ošetření je důležité si nachystat prostředí, ve kterém se bude sanovat chrup. Neustálé krvácení by zamezilo kvalitnímu ošetření chrupu, výplň by nedržela, nešlo by ošetřit kořenové kanálky a další. Pacient se musí především naučit čistit zuby správnou technikou, aby chrup udržel v co nejlepší kondici a ve stavu, ve kterém může být zhotoveno kvalitní ošetření.
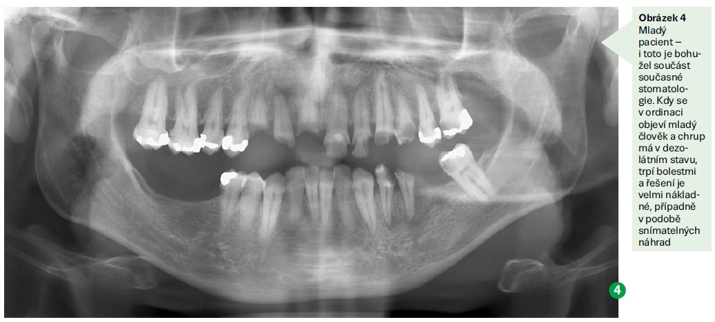
Pacienti často přijdou a několikrát ročně mají problémy s chrupem, pociťují bolesti, vypadne jim výplň a další. Jsou ze svého chrupu smutní, smíření s tím, že mají „špatné“ zuby po jednom z rodičů. Někdy je těžké je motivovat, protože nevěří, že zuby nemusí bolet, protože s nimi mají obtíže celý život. Nevěří, že když si udrží svoji dentální hygienu na dobré úrovni, budeme se za nějakou dobu vídat jen při prohlídkách, kdy jim případně doporučím, kde by se měli více soustředit na čištění, kaz bude výjimečný úkaz a bolest zubů vzácnost. Nejvíce mě vždy potěší, když pacient po několika letech přizná, že nevěřil, a teď má své zuby rád a svědomitě o ně pečuje.
Ovšem v tom je právě kámen úrazu. Pacient musí vydržet a čistit doma. Nikdo za ním nebude chodit domů a čistit mu zuby. Je to stejné, jako když chce někdo zhubnout, navštíví odborníky, ti mu poradí, doporučí směr, jak mu půjde v jeho případě hubnutí nejlépe, ale on musí dodržet dietu a režim. Stomatologie je stejná. Jsme schopni odstranit mnoho škod na zubech, ale pokud chce někdo trvalý výsledek, je jen na něm, aby udržel čistotu svého chrupu na úrovni. Proto je důležitá motivace.
Podstatná je důvěra a komunikace mezi jednotlivými členy týmu. Pacient je v cizím prostředí, které pro něj může být stresující, a může zapomenout nebo zatajit důležité informace pro některého člena týmu. Někdy se například stydí říci o svém problému, nicméně zubní lékař i dentální hygienistka jsou zdravotničtí pracovníci vázaní mlčenlivostí. Jsou tu pro to, aby posoudili vliv konkrétního léku nebo choroby. Když o tom ale neví, těžko se tomu mohou přizpůsobit. I běžné léky na hypertenzi, hormonální antikoncepce, antiepileptika nebo léky proti astmatu mohou způsobit změny v ústech. Pacienti se mohou léčit roky, považují se díky tomu za „zdravé“ a nevzpomenou si, že užívají léčiva.
Obrovskou komplikací ve stomatologii může být například osteoporóza. Ne choroba jako taková, ale předepisovaly se na ni léky ze skupiny bisfosfonátů, u nichž stačilo i jedno nebo jen pár podání, a po extrakci zubu zvláště v dolní čelisti mohlo dojít k vážným nekrózám kosti a pacient skončil hospitalizován v nemocnici na intravenózních antibiotikách.
Kvůli nedostatku zubních lékařů v naší zemi se uvažuje o rozšíření pravomocí dentálních hygienistek ve smyslu provádění preventivních prohlídek. Hranice mezi jednotlivými obory se tak mění průběžně. To stejné platí i ve směru k zubním technikům. Dříve jednoduše poslal lékař otisky do laboratoře s pár poznámkami na laboratorním štítku a pouze mu přišla výsledná práce. Dnes se stává technik rovnocenným partnerem. Standardně mu jsou odesílány fotografie pro konkrétní práci, díky digitalizaci se mohou lékař i technik bavit nad digitálním modelem výsledné práce, i když jsou od sebe mnoho kilometrů, každý může říci svůj názor, přispět svým úhlem pohledu a výsledkem je lepší výrobek.

Estetika
Další oblastí, kam stomatologie směřuje, je estetika. Neustále se posunují a zlepšují materiály, které se v ordinacích používají. Například materiál MTA (mineral trioxide aggregate), který se používá při ošetřování kořenových částí zubů, napomáhá hojení v jejich okolí takovým způsobem, že je dnes možné zachránit mnohem větší procento zubů než před několika málo lety.
Největší změny se dějí mimo ústa pacienta, při změnách materiálů a postupů. Například intraorální scaner může mít dnes lékař v ordinaci, ale také může být v laboratoři. Jako zubní technik dokáži ocenit staré postupy zhotovování zubních náhrad. I když byly jednoznačně pracnější a pomalejší, měly své kouzlo a zubní technik si připadal spíš jako zlatník, kterému se rodí pod rukama šperk na míru pro konkrétního člověka. V dnešní době je zubnímu technikovi vracena zasloužená vážnost, ale vše je rychlejší. Tomu se přizpůsobují i materiály, aby se daly dobře vyfrézovat nebo vytisknout. Postupně se upouští od konstrukcí z kovu, jelikož jeho zpracování je náročné a frézování trvá dlouho. Frézují se jen konstrukce, kde kov zatím nelze nahradit, ale bohužel jsou drahé. Levnější formou zpracování je tisk kovových konstrukcí, kdy se jednotlivé vrstvy spékají laserem a pomalu vzniká celý výrobek po tenkých vrstvách. Na korunky se nyní používají konstrukce z oxidu zirkoničitého (ZrO2). Tento materiál je vysoce odolný a jen s drobným individuálním dobarvením poskytuje skvělé estetické výsledky. U snímatelných náhrad se prosazuje vysokoteplotní plast PEEK, který lze dobře frézovat a má vazbu k materiálům.
Implantáty a biokompatibilita
Pokud pacientovi již zuby chybí, jsou dnes nejčastější volbou implantáty. I ty mají několik základních předpokladů pro zavedení do úst – a to dobrá ústní hygiena a dostatek kosti. Tím se vracíme k začátku článku, kdy implantát je náročnější a nesnese takovou bakteriální zátěž jako vlastní zub. V důsledku parodontitidy a nedostatečné ústní hygieny může potom mít chrup nedostatek kosti pro zavedení implantátu. Pokud pacient chrup čistí, lze nahradit kost umělými preparáty.
Moderním trendem je nahradit kost materiálem, který je tělu vlastní. Dříve se běžně zuby moudrosti extrahovaly, dnes se zachraňují, pokud to není nadmíru komplikované, neboť byly vyvinuty postupy, kdy je z nich možné připravit jemný prášek přímo v ordinaci a použít jej jako náhradu kosti při zavedení implantátu. Případně, pokud jsou ideální podmínky, lze místo implantátu použít vlastní zub pacienta a pouze ho v rámci úst transplantovat do vhodné pozice.

Prevence v dětství
Výše jsou uvedeny velmi komplikované postupy, které nastávají při úrazech nebo u velmi zanedbané péče. Nejlepší formou péče o chrup je prevence, ideálně vedená už od raného dětství, díky níž se může člověk vyhnout mnoha útrapám se zuby. Je také finančně nejméně nákladná. Pokud člověk nemá kazy nebo se odstraní už jako malé, je to nejlepší stav pro všechny.
Nejvhodnější je začít s docházkou k zubnímu lékaři mezi prořezáním prvních zoubků a prvním rokem. Děti často mají strach ze zdravotnických zařízení, většinou to je kvůli strachu z bolesti způsobeného například nějakým očkováním. Osobně mám nejraději, když děti chodí pravidelně s rodiči, a byť třeba jen otevřou pusu, pomalu si zvykají a zjišťují, že to nemusí u všech doktorů bolet. Pro děti je velice motivující drobná odměna a pochvala. Při prohlídce zkontroluji, zda není potřeba nějaký zásah do čištění, stravování, zlozvyků a tak dále. Lze tím předejít velkému množství škod, dítě je zvyklé na ordinaci a má určitou důvěru k lékaři. Snáze se nechá ošetřit, než když rodiče přivedou dítě, až když má nějakou bolest v ústech, a je to přesně ten stav, kdy může vzniknout fobie ze zubního lékaře.
O autorovi

MDDr. Petr Horák, DiS.
Vystudoval obor diplomovaný zubní technik na SZŠ a VOŠZ Brno, Merhautova, p. o. Na Lékařské fakultě v Plzni Univerzity Karlovy vystudoval obor zubní lékařství. Pracuje jako zubní lékař, zubní technik a jednatel společnosti DentalDual s. r. o.
Další články v tomto čísle
- XXVIII. královéhradecké ošetřovatelské dny
- Vzdělávací dovednosti v oblasti zdravotní gramotnosti u sester pracujících se seniory
- Editorial
- Anděl mezi zdravotníky: Cenu Sympatie Florence získala lékárnice Gabriela Bendová
- EPUAP – České VI. sympozium, DEKUBITY – Sdílení zkušeností na mezinárodní úrovni
- Gastroskopie
- Děláme svou práci srdcem a úsměv máme při práci s dětmi v popisu práce
- Nadměrné zatížení pediatrických ordinací
- Úrazy u dětí
- Novodobá technológia – pomoc v self-monitoringu o deti s ochorením diabetes mellitus
