
Číslo 4 / 2017
Stereotaktická radiochirurgie hlavy s neinvazivní fixací
Klinika radiační onkologie Masarykova onkologického ústavu (MOÚ) v Brně rozvíjí program intrakraniální stereotaktické radioterapie již od roku 2004. Modernizace a rozšíření kliniky o Centrum fotonové terapie, které bylo otevřeno v březnu 2016, umožnily další zlepšení v realizaci tohoto speciálního typu ozařování.
V dubnu 2016 byly uvedeny do klinického provozu dva nové navzájem kompatibilní lineární urychlovače. Oba tyto urychlovače disponují parametry a příslušenstvím s vysoce sofistikovanými funkcemi pro stereotaktické ozařování v oblasti celého těla s maximální přesností (obr. 2).

Obr. 1 – Centrum fotonové terapie

Obr. 2 – Ozařovna nového lineárního urychlovače v Centru fotonové terapie
Co je stereotaktická radioterapie a radiochirurgie
Stereotaktická radioterapie je jedním ze speciálních způsobů léčby zářením, kdy je dávka záření zaměřena co nejpřesněji do cílového ložiska malého objemu. Celková dávka je aplikována v několika málo frakcích (3–8 dávek) s vysokou jednotlivou dávkou (5–15 Gy).
Radiochirurgie je její radikálnější formou, léčba je provedena pouze jednorázově, vysokou dávkou aplikovanou v jediné frakci, a její účinek napodobuje chirurgický výkon. Zpravidla tento pojem vystihuje indikaci ozáření v oblasti hlavy (intrakraniální), kde lze snadno využít imobilizaci skeletu lebky. Vysoká dávka záření způsobí nekrózu (ablaci) zasaženého ložiska, ale bohužel může také poškodit zdravou tkáň mozku, hlavové nervy nebo mozkový kmen. Proto je důležitá extrémní přesnost, aby ev. poškození okolní zdravé tkáně bylo co nejmenší. Přesnosti docílíme znehybněním hlavy pacienta ve speciální fixační masce pro radiochirurgii, která je pevně fixována k ozařovacímu stolu.
Jednorázové ozáření vysokou dávkou (obvykle v rozpětí 18-24 Gy a více) plánujeme s ohledem na velikost ozařovaného objemu a charakter ložiska.
Historie a současnost radiochirurgie v MOÚ
Dříve používaný způsob ozáření v pevném – invazivním stereotaktickém rámu znamenal pro pacienta celodenní nebo několikadenní pobyt na radioterapeutickém oddělení s invazivně připevněným nepohodlným kovovým rámem, navrtaným čtyřmi šrouby do lebky. Složitý a náročný proces přípravy, plánování i nastavení k samotnému ozáření vyžadoval přímou fyzickou účast a spolupráci personálu celé kliniky – lékaře, fyzika, technika, asistentů a současně personál spolupracujících klinik, neurochirurgů, popř. anesteziologa – a trval několik hodin. Tato „rámová“ fixace hraje i nadále nezastupitelnou roli např. na gama noži (obr. 3, 4).

Obr. 3 – Invazivní rámová fixace

Obr. 4 – Pacient na lineárním urychlovači během ozáření s invazivním rámem
V červenci 2016 jsme začali používat nový neinvazivní rám (dále jen rám) firmy Civco s obchodním názvem trUpoint ARCH™ (v překladu oblouk, klenba), určený ke stereotaktickému ozařování intrakraniálních ložisek na lineárních urychlovačích. Pomocí kombinace termoplastické obličejové masky, tvarované kolíbky pod hlavou, fixátoru kořene nosu a individuální maxilární stabilizace – otisku zubů s precizní aplikací a přípravou všech součástí systému můžeme zaručit velmi přesné zaměření. Tato fixace se v publikacích též nazývá „bezrámová“ (obr. 5).

Obr. 5 – Pacient s neinvazivním stereotaktickým rámem
Se zavedením neinvazivní fixace pacienta se celý proces významně zjednodušil, celou přípravu zvládnou radiologičtí asistenti na CT simulátoru v běžném obsazení ve spolupráci s ošetřujícím radiačním onkologem. Multioborová spolupráce je samozřejmě stále nezbytná, ale odehrává se bez fyzické přítomnosti pacienta. Tím se výrazně zvyšuje komfort pro pacienta, který ihned po úvodním zaměření na CT simulátoru odchází domů. Další návštěvou nemocnice je pro něj až samotné ozáření na určeném přístroji.
Technika stereotaktické radioterapie v MOÚ
Pro stereotaktické ozařování využíváme všechny nejmodernější funkce, které naše urychlovače Varian TrueBeam STx 2.5 poskytují:
- Svazky Flattening Filter Free (FFF) – výhoda nižší periferní dávky, kratší ozařovací čas, vysoký dávkový příkon, v indikovaných případech lepší dávková distribuce, vyšší dávka na impulz může snížit přežití klonogenních buněk (vyšší letální účinek), FFF svazky mají méně laterálního rozptylu, ozařují tedy cíleněji.
- HD-MLC kolimátor – centrální lamely (do velikosti pole 8 × 8 cm) 2,5 mm, vnější lamely 5 mm, maximální velikost pole 40 × 22 cm.
- Stůl PerfectPitch™ se šesti stupni volnosti (6DoF) – kromě posunů stolu ve směru vertikálním, longitudinálním a laterálním (VRT, LNG, LAT), navíc také možnost korekce polohy pacienta v +-3 stupních rotací (pitch – ve směru „ano“, roll – „ne“, rtn – izocentrická rotace stolu) se submilimetrovou přesností.
- Rozšířené a vylepšené možnosti zobrazování umožňují jednodušší a rychlejší interpretaci kilovoltážních, megavoltážních i CBCT (výpočetní tomografie s kuželovitým svazkem) snímků.
- Field Automation – svázání ozařovacích polí nebo kyvů se stejnými parametry do jednoho bloku, mezi poli se svazek záření nevypíná, pouze pozdrží.
Indikace k radiochirurgickému výkonu
Radiochirurgické metody ozáření lze obecně indikovat pro všechny primární maligní i benigní nádory mozku menšího objemu, metastázy a případné reiradiace. Dále pro léčbu inoperabilních, kriticky uložených nádorů (např. neurinomy akustiku), pro léčbu arteriovenózních malformací, neuralgie trigeminu a jiné.
Léčebný efekt nastává postupně, odvíjí se od stavu, který léčíme:
- Benigní tumory – nezhoubné buňky ztrácejí schopnost reprodukce, po 18–24 měsících se zastaví růst nádoru.
- Maligní tumory – zhoubné nádory mají rychlejší metabolismus, reagují na ozáření rychleji, nejčastěji během několika měsíců.
- Arteriovenózní malformace – ozáření způsobuje zúžení až úplné uzavření cév. Proces fibrotizace cév může trvat dva a více let.
- Neuralgie trigeminu – záření poškodí vedení nervového vzruchu trojklanným nervem. Bolesti ustávají do několika měsíců.
Nežádoucí projevy po ozáření
Záření narušuje strukturu DNA, v ozářené buňce se mění metabolismus, buňka ztrácí schopnost reprodukce a zadržuje tekutiny. Radiochirurgické výkony jsou však založeny na nekrotickém účinku vysoké dávky záření. Okolní zdravé a neozářené tkáně mají schopnost reparace a regenerace. Projev nežádoucích účinků velmi záleží na lokalizaci a na míře ozáření okolní tkáně. Některé projevy se dají ovlivnit konzervativní terapií (např. edém), vzácně je nutný chirurgický zákrok (např. odstranění nekrotické tkáně). Některé změny mohou být nevratné.
Plánování léčby
Celý proces léčby stereotaktickým ozařováním začíná na ambulanci radiační onkologie, kam pacienti přicházejí ke konzultaci na základě výsledků z předchozích vyšetření. Na mezioborové indikační komisi je navržena vhodná strategie léčby. Pacient je informován o postupu, pokud souhlasí, dostává konkrétní termín na CT simulátor. Na CT simulátoru začíná samotné plánování ozáření.
S předstihem připravíme a zkontrolujeme úplnost pacientovy dokumentace, chorobopis, ozařovací protokol, informovaný souhlas s léčbou, stranový protokol a záznamy o obdržené dávce záření, výkaz pojišťovny, přílohu pro záznam nastavení parametrů rámu (trUpoint ARCH Setup Sheet) a do verifikačního systému uložíme data a identifikační foto pacienta. Pacient je důkladně poučen lékařem i asistentem o celém postupu. Odloží veškeré odnímatelné předměty – zubní protézy, brýle, náušnice, vlasové spony, kontaktní čočky a podobně.
Vycházejíce z předchozích praktických zkušeností jsme si vytvořili vlastní postup při nastavení pacienta do fixační masky s rámem. Vyhneme se tak případnému nechtěnému opakování některého z kroků. Pacient ulehne na stůl CT simulátoru, v poloze na zádech, podložíme mu kolena, hlavu uložíme do univerzální kolíbky, upneme nad něj rám a jeho jednotlivé částí nastavíme do předběžné polohy. Nastavení rámu je velmi variabilní a vyžaduje určitou zkušenost. Následně se rám i kolíbka odstraní a vymění se za nové, které vyrobíme pro konkrétního pacienta, určené pouze jemu.
- Zhotovení kolíbky – jednorázová podložka pod hlavu je z houbovitého materiálu a umožňuje vytlačení přesného obrysu pacientovy hlavy. Ve vodní lázni o teplotě přibližně 60 stupňů Celsia se nahřeje povrchový díl z termoplastické hmoty, překryje se jím kolíbka a upevní se k jejímu povrchu. Pacient se uloží na kolíbku a tlakem na jeho čelo a bradu se vytvoří v kolíbce reliéf kopírující tvar hlavy. Tvarovaný povrch se zachová ztuhnutím termoplastu.
- Maxilární fixátor – otisk zubů připravujeme pomocí obloukovitě tvarované plastové vaničky, naplněné zubařskou hmotou, tu pacient vloží do úst a mírně skousne. Rty mu upravíme kolem oblouku. Asistent doladí úhel otisku, aby zapadal do úchytu rámu, a hmota se nechá v ústech ztuhnout.
- Termoplastická maska se rozehřeje ve vodní lázni na 60 stupňů Celsia, přenese se na pacienta, upne k základně kolíbky a asistenti masku dotvarují včetně vtlačení do zevních zvukovodů. Obličej pacienta zůstává volný. Maska tuhne dle doporučení výrobce deset minut.
- Definitivní nastavení všech částí samotného rámu – rám se znovu upevní nad pacientovu hlavu, stopku maxilárního fixátoru vsuneme do přihrádky, kterou vyplníme zubařskou hmotou, a vytvoříme tím pevný spoj fixátoru a rámu.
- Usadíme bloček do prohlubně na kořeni nosu (obr. 6).
- Odečteme a zaznamenáme pozice všech částí rámu do přílohy (obr. 7).

Obr. 6 – Nastavení pacienta při lokalizaci na CT simulátoru

Obr. 7 – Příloha ozařovacího protokolu s podrobným popisem nastavení rámu
Preciznost anebo naopak nepřesnosti se odrazí v celém výsledku léčby.
Tím je pacient připraven k nasnímání plánovacích CT snímků. Snímkujeme řezy po 1 mm. Lékař určí virtuální izocentrum a jeho poloha je zakreslena na masku. Snímky exportujeme do verifikačního systému Aria.
Tato fáze pro pacienta končí současně se sundáním masky. Poté pacient odchází domů s termínem ozáření na konkrétním ozařovači.
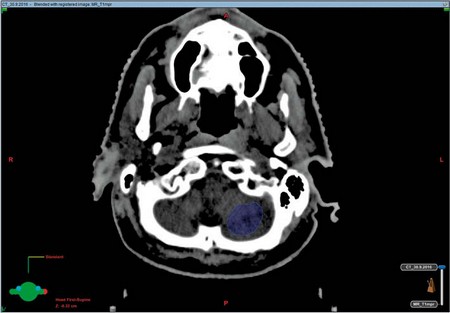
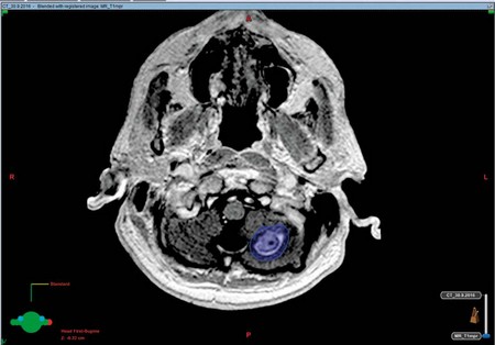
Mezitím ovšem začíná další část procesu pro lékaře radioterapeuta – zakreslení kontur cílových objemů a kritických struktur do plánovacích CT snímků, jejich fúzování s MR pro lepší orientaci a rozlišení v měkkých strukturách (obr. 8, 9).


Obr. 8, 9 – Fúze snímků plánovacího CT a MR vyšetření
Nakonturované CT snímky přebírá radiologický fyzik k vytvoření ozařovacího plánu. V plánovacím systému se složitými výpočty vymodeluje 3D rozložení dávky. Kritéria plánu zadává plánující lékař. Hotový ozařovací plán kontroluje a schvaluje tým lékařů (obr. 10, 11).

Obr. 10 – Rozložení naplánované dávky záření v cílovém objemu

Obr. 11 – Ozařovací plán – ozáření šesti ložisek současně v jedné frakci
Ozáření
Pacient přichází k samotnému ozáření na lineárním urychlovači. Těsně před výkonem je vyšetřen lékařem a edukován radiologickým asistentem o průběhu ozáření.
Pro speciální ozařovací techniky máme na každém přístroji vyhrazenou dobu, protože jsou časově náročnější než standardní ozáření. Příslušenství urychlovače se musí přestavět, ozařovací stůl je prodloužen kompatibilním karbonovým nástavcem, do kterého se upíná stereotaktický rám s individuálními pomůckami pacienta. Na ovládací konzole lineárního urychlovače importujeme aktuální ozařovací plán z verifikačního systému (Aria) a nastavíme všechny parametry pro kontrolu polohy pacienta a samotné ozáření (obr. 12, 13).

Obr. 12 – Individuální fixační pomůcky a neinvazivní stereotaktický rám

Obr. 13 – Detail maxilárního otisku
Poloha pacienta musí být striktně stejná jako při snímání plánovacích CT snímků, které slouží jako referenční. Reprodukci polohy provedeme dle údajů z CT simulátoru. Pacient se uloží na ozařovací stůl na záda, hlava mu musí přesně dolehnout do kolíbky, podložíme mu kolena pro větší komfort. Pacient si sám vloží do úst maxilární otisk a pevně jej usadí na čelist a zuby. Upravíme mu rty. Maskou obepneme hlavu pacienta a zacvakneme všechny upínací body. Umístíme stereotaktický rám nad pacientovu hlavu a zamknutím obou zámků zajistíme pevné spojení s ozařovacím stolem. Připneme maxilární fixátor k rámu do dané pozice a nastavíme bloček na kořeni nosu. Dle formuláře ještě jednou zkontrolujeme správnost nastavení všech komponentů. Nastavíme polohu ozařovacího stolu dle značek na masce. Pokud plánující fyzik změnil polohu původního virtuálního izocentra, provedeme odpočet rozdílu a nastavíme stůl dle těchto hodnot. V této pozici provedeme první lokalizační snímky (CBCT – Cone Beam CT), srovnáme s referenčními skeny z CT simulátoru. Případný rozdíl dorovnáme korekcí polohy ozařovacího stolu. Uložíme údaje o pozici do verifikačního systému. Komunikačním zařízením upozorníme pacienta na pohyb stolu a odjedeme do nové ozařovací pozice stolu. Pro kontrolu této polohy můžeme provést druhé lokalizační snímky. Následuje poslední ověření ozařovacích parametrů lékařem a radiologickým asistentem. Samotné ozáření provádíme pod stálou vizuální kontrolou pacienta (obr. 14).

Obr. 14 Ovladovna lineárního urychlovače
Bezprostředně po ozáření je pacient zkontrolován ošetřujícím lékařem, upozorněn na možné nežádoucí projevy a poučen, co má v případě náhlé změny zdravotního stavu dělat.
Podpora pacienta
Obecně záleží na každé osobnosti, jak dané věci zvládá. Většina pacientů léčbu podstupuje bez větších potíží, stačí jim podpora rodiny a přátel. Ovšem mohou přijít i situace, které pacient sám nezvládne, má pocity strachu, úzkosti, trpí klaustrofobií apod. Nejčastěji se pacienti obávají, že nevydrží ležet v klidu, začnou kašlat nebo že se jim může udělat nevolno. Tento strach může pacient dobře zvládnout pomocí zklidňující medikace předepsané lékařem.
Ke každému pacientovi je třeba přistupovat s pochopením a celý postup s ním pečlivě, krok po kroku probrat a vysvětlit. Pacient by měl například vědět, že po nastavení do předepsané polohy v masce nebude moci mluvit. Proto je dobré nacvičit s ním gesta, kterými ukáže, zda situaci zvládá a že je vše v pořádku – např. na dotaz ohledně stavu nekývá hlavou, ale ukáže palec nahoru, v opačném případě zvedá ruku. K uklidnění pacienta také přispívá fakt, že i v případě našeho odchodu z ozařovny jej neustále sledujeme pomocí kamerového systému. Současně můžeme na pacienta během ozáření mluvit prostřednictvím dorozumívacího zařízení a popsat mu, co se s ním bude v danou chvíli dít. Pacientům také doporučujeme zabavit mysl příjemnými představami nebo počítáním višní na stropu ozařovny (obr. 15).

Obr. 15 Pacient během ozáření s fixačním rámem
fota: fotoarchiv Kliniky radiační onkologie MOÚ
Souhrn
Dosud jsme v Centru fotonové terapie tímto způsobem ozářili soubor 14 pacientů pro mozkové léze (meningeomy, metastázy, neuralgie trigeminu, reiradiace gliomů a jiné).
Průměrné absolutní odchylky polohy izocentra se u tohoto souboru pacientů pohybují (ve směrech pohybu stolu) VRT: 0,1 cm; LNG: 0,2 cm; LAT: 0,1 cm a rotace PITCH: 1,3 °; ROLL: 0,7 °; RTN: 1,0 °.
Naše výsledky srovnané s publikovanými výsledky z jiných pracovišť z celého světa, používajících podobný systém polohování a fixace, jsou v podstatě totožné.
Časová náročnost jednotlivých fází léčby je zcela individuální a při nekomplikovaném průběhu je přibližně následující:
- CT simulátor, výroba individuálních pomůcek, edukace a nastavení: 30–45 minut
- Vypracování ozařovacího plánu: 5–10 dnů
- Ozáření na lineárním urychlovači: 15–45 minut
Výhody neinvazivní fixace trUpoint ARCH: Časová nenáročnost, jednoduchá příprava pacienta, stávající personální vybavení kliniky, neinvazivnost, MR kompatibilita, konstrukce umožňuje rychlé nastavení a odstranění rámu v případě náhlé ohrožující situace, reprodukovatelnost polohy, dostupnost pro větší spektrum pacientů.
Nevýhody: Nutná plná spolupráce pacienta, omezené využití při absenci zubů, zaručená životnost individuálních fixačních pomůcek pouze pro 1–5 frakcí.
Závěr
Prozatím nedisponujeme velkým souborem pacientů, ale i tak lze konstatovat, že do dnešní doby se fixační systém trUpoint ARCH™ osvědčil jako spolehlivý a efektivní prostředek pro dobré výsledky naší práce. Výhody převyšují nad nevýhodami jak pro personál, tak především pro pacienty.
Iva Šidlová, DiS., Ing. Jana Kovaříková, Klára Holoubková, DiS., Klinika radiační onkologie, Centrum fotonové terapie LF MU a MOÚ Brno
Poděkování
Autoři článku děkují všem zúčastněným spolupracovníkům a pacientům za jejich čas, vstřícnost a trpělivost.
Literatura u autorek
Fota, zdroj: fotoarchiv Kliniky radiační onkologie MOÚ
Dedikace
Podpořeno MZ ČR – RVO (MOÚ, 00209805)
Více o autorce:
Iva Šidlová, DiS. – diplomovaná radiologická asistentka
1993–1997: SZŠ Vyškov – obor Všeobecná sestra; 1997–2000: Střední a vyšší zdravotnická škola Brno Merhautova – obor Diplomovaný radiologický asistent; 2000–2011: Oddělení radiační onkologie, Fakultní nemocnice u sv. Anny v Brně; od 2011: Klinika radiační onkologie LF MU, Masarykův onkologický ústav v Brně
Pozn.: Tento příspěvek zazní na XXXI. konferenci pro nelékařské zdravotnické pracovníky, jenž bude součástí XLI. brněnských onkologických dní 2017, které se konají ve dnech 26.–28. 4. 2017.
Další články v tomto čísle
- Máte v jídelníčku dostatek vlákniny?
- Čistota – půl zdraví
- V Americe si lůžka vybírá personál podle kvality a designu, u nás záleží jenom na ceně
- Porovnání redukce gingivitidy a plaku pomocí zubního kartáčku Sonicare DiamondClean a manuálního zubního kartáčku
- Lymfoscintigrafie k detekci sentinelových uzlin
- Extrakraniální stereotaktická radioterapie s řízeným dýcháním
- Zájem o plastickou chirurgii bude pořád
- Hodnocení bolesti v intenzivní péči
- Povinné sústavné vzdelávanie v ošetrovateľskej praxi sestier
- Postupné zavádění programu prevence a kontroly infekcí ve FN Brno
